Ûç 60 ã « ¯^ 329204
>ß ` Ø h h >Ý Ã *> ôh h >ÿ?Куда1„«€ˆ„ °Ð°Ð½Ñ‹œ¿œ¿œ¸§Ï«Ô ÊŒâ€i 'ойы€û ú ¼Ñ‹Ð½Ð°Ð¾i©?"Á ¯Ê¤Ø SŽÒ ÿƒ) — –„Ø®ê„è' ¯¹ ³Ð°Ð½Ñ‹Ð–I ¡€!†® Ò¥,§¿§¿§¿ 3R §¹LŠ·QR§¸ Ð³Ð°Ñ€Ñ ƒ" ‰X§Ó‰ ¦1—Ȩj » ŸÁÒOMANISÖETVSTATEÊ ÈDILAPS 5IMPENS (SV PABÉNTEGROÒESTITVEND‚ CVRAVIT‚¸BER‚ ÃOMES hS 8ORƒÄÒÇEORGIIÔ X€8LIžo¯—¯—¯Ë ‚0ght="1em"> Morgan†êMount G²°in¨JT IPembµ ãP³

Scrum Bwitsies Dot Us A Most Of On Scrum Bwitsies Web History Dump July
Ûç 60 'ã « "¯^
Ûç 60 'ã « "¯^-USA 60 Dollars UK 50 Pounds In India, DD / MO should be drawn in favour of "Mahavideh Foundation" payable at Ahmedabad Total 24 Pages with Cover page èëØý çå@Ö ÕúßëìHëÀ ç_VÀòìÖÜë_ ÔÚÀõ Èõ ÛëßÖ Øõå ÛTÝ Ü_ìØßù, ìäåëâ ìèÜëáÝ, ßëÉÀëßHë,ELF p– 4x¡ 4 ( 44€ 4€ ÀÀ ôô€ ô€ € € çE çE F Ö Ö ¨p„ øµ øE øE °° /lib/ldlinuxso2 GNU C^ #V8W YX;' U K,3 07 T H\E)SC ?Z( OL$Q




U A E Soc High Resolution Stock Photography And Images Alamy
104 A 60 yo man complains of significant pain in the right eye, photophobia, lacrimation, reduced vision of this eye, headache of the right part of the head Pain occured 2 days ago On examination Vis OD 0,03, congested injection of the eye ball, significant cornea edema, front chamber is deep, pupil is narrow, athrophic iris, there is>á11Â *>#`h h >ÿ?/¡ b4#Ý( V d )¼ /¡ w &k > g4 )!
~60℃ Environment temperature 85%, with no condensate Vibration Resistance 1025Hz (2G per 30min in X, Y, Z direction each) Interfere immunity Voltage noise1000Vpp, pulse width 1µs,1 min Ambient atmosphere With no corrosive air Protect configuration Fit the IP65 Ñ" åŒ ótA !€ ÃË ~ £€€£€à£€x # ÖO V€À% P€ð ouI þ t„ ø 6 b
B 0É Â w º v ¥ å ± î ¿ µ º _ _ ¶6ä 公益財団法人 日本下水道新技術機構 エジェクタ式集砂装置100 014 50 140 80 x 100 nd 60 508 3184 nd 500 7581 uwt1h101mnl1gs 150 014 75 180 100 x 100 ND 690 4321 ND 500 102 UWT1H151MNL1GS 2 014 110 2 100 x 100 ND 690 4321 ND 500 102 UWT1H221MNL1GSOkamura_MS9ZJN_Risefit III_Rectangle Form_Silver Column Revit




Black Gold Slider Moon Star Grace Oliver




Deccan Land Magazine September 13 Flip Book Pages 51 60 Pubhtml5
>ß p#ã )# Ê h >ÿ?ޏidth="2€°Ž ign="justify 0‚ æ'P="Georgia Øb€Ç€ÀHelv† c€Ð76ƒ¦b>  Perhaps “';"puŒ@' ‹Ásonab‰x"ðfort€`e"ŠÈn ’tënowè€ • "AÓ•I ›i'p—h Šar—€n‹Ñe•I qey"pc—˜nsedâ'P—ðsÉŽPuld— keåac‹`f–)Œª"È–€rsel'"qu 0 èÚ à˜p#' à ±îå\KZ 2( ;




Euroaccessoires Equipamento Exterior Pages 51 Flip Pdf Download Fliphtml5




Glacial Indifference Bauhaus Inspired Sans Serif Font Otf Bypeople
Womenáreío€(likelyôoåncounterïbstaclesácrossôheã‚Pinuumïfã‚ a òesult€¥giv‚ro à,çend‚pexpectation€¨andóocioe‚ˆomicèardshipsHigh Quality Print 1 þþþþ H H $ €@à ÂdÁ HHHH €ÌÌ€ÌÌ€ÌÌ€ff€@ ÊøÊøÊøÿ€ ÿ ÿÿ€ ÿ ÿÿ€ ÿ ÿ Á ÿÿö Êøÿ ÿÿ ÿÿ ÿÿ ÿ€ ™ d €³ Footnote TableFootnote *†‡ *†‡ \t \t / â€" â€" ;,…!?Prettyíuchåveryon„(odayƒá SÙ‚9target‚tsრnoäiffƒxnt‚àwƒâ€á‡I?Ónapc‡ð?Æace†Ñ?Çood„¡s„ †ëLinkedIn†ô?†Ì/ol> Consi‡¹t‹áˆ@ ’llìikelŒ e€`mo‰8„¢s 1nðrint,ïr€Sondemand




Pdf Causes For Dollar Vs Rupee Depreciation




Character Coding
Autodesk Revit Autodesk Revit Grouping Revit " " " " ">ü>ü >à%¼#ã íh ±gzgggxg g>4 h ?Alcoholándóleepäeprivation Xsoíayággra€¨eïrôriggeróymptomsénóome€@ƒØidu ¸Òeducing 'completelyålimin‚ø€ÐtheseæactorsƒBr€øeve‚Þ,âuté€ sõnclearéf È€€canðr




Scrum Bwitsies Dot Us A Most Of On Scrum Bwitsies Web History Dump July




Lust Pro Didone Slim Positype
OFRsmiAPPLoneb!ÿÿÿÿ ßCµ w€µ w @ SñBDµ Rµ Z / p OFR TT W T*T**ÿÿÿÿÿÿÿÿÿÿð ÿÿÿÿÿÿÿÿÿÿÿÿÿÿÿÿÿÿÿÿÿÿÿÿAssessorãapacityándêudgment) ˆîumb 8 ˜steps â€"suˆ as€€ `g ˆÉrain"y'àŽ 'Ëup Iamñ" – † trol"1draftÍ"ûE"þÒ† rtƒiŽŠal‚ dyŒ0‰¹ak‰éo„ ë‚ý•k‰¸€ncy'å‹ÿ ޏcš°ÍoreŒù, ' ce"ºtœ¸tableæ"™'qewò—ðd˜Áš_š^ˆAtch˜Ð Y'»ximatelyó—Ðnùear˜ø—–ž —¶™¦™Ÿ‰2ª€8imgòecindex="‚i1" ht=""/ 0/ à€> Inh„ ¥‰>Be" ¬àch!




Lndoor Outdoor Wotan Light Ng And Lncandescent Lamps Compact Fluorescent Lam Ps Fluorescent Lamps Miniature Lamps Tungsten Halogen Lamps Pdf Free Download




Resnick Font By Letterfreshstudio Creative Fabrica
Autodesk Revit Autodesk Revit Grouping Mechanical Equipment Revit CF SWSI>â Ò x h h h ¿4 g=gwgd h ?($¨ ,ƒ 4t &™> @ 5B ÅD DÁF LÂH TiJ \mL cßN jÓP p R p T pþV rFX rVZ sJ\ t*^ u&` vŽb xJd xnf x'h x¾j {¶l {¾n „¢p zr
.jpg)



Semen Quality As A Potential Susceptibility Indicator To Sars Cov 2 Insults In Polluted Areas V2 Preprints




D Itl High Resolution Stock Photography And Images Alamy
Tania's_Costume_Party`* ô`* ôBOOKMOBI9 8$ 3µ 4ä 4ç 5ß 6ã 7 8 9' ß ó ;ó Ó Unknown Tania'sÃostumeÐarty‚`2> K ÀkaǃÀp> O O J3 Copyrightï û ç ü ë ü û ç õ ç ü þ ø ù ç ü ç ç ö ë ë ç õ þ ï û ç ü ë ü û ç õ 11 ö ö ՏՂ çՄ çՍ çՅՆ õՆՏՐՈՆՆՐ Մ çՏՉ ë òՈՒ ïՅ çՆ éՆ ç ö çՏՈՒՄ è ç ç ö ç û þ ú 57,7% 41% 10,6% 56,4% 41,2% Քվեարկության սենյակ տանող ճանապարհին առկա ենÙ Î & m 0 Ô , õ ¼ Ö õ ¼ ã Ö 2 Ö myRoom DIN!



A Blush Pink Country Garden Wedding In Cheshire Uk Wedding Blog So You Re Getting Married




Beta Adrenergic Receptor Stimulation Limits The Cellular Proarrhythmic Effects Of Chloroquine And Azithromycin V1 Preprints
FDIC_ConsumeNews_Fall_15Vââ Vââ BOOKMOBI‹E x(x 0{ 8¿ A I Q4 YA ap iN q y€ a „ „ „ü † ˆ@"ßä$ ù & Ô( * y , ‰ ½D0 ½h2 ½œ4 ´ç6 Í Í# EXTH è t kprj 16dTFederal Deposit Insurance Corporation (FDIC)/Office of Communications (OCOM)eFederal Deposit Insurance Corporationi FDIC, FDIC Consumer News, Fall 15, loan, credit card, interest rate, credit scoreNN ²E ˪ åüŒn"ÌÛgï{îý=ëJçÆº4Ö³%¦¤`™á™àžKILl 3®T @'å ¥¡‹Çy þöÞS‚ Ú2 àdŽ ¨ßáŽF©ª©È'mÉç nQQÛB " î `3 Ì~§½I@ Q@ Q@ Q@ Q@ yã ÙKmy¯ip\DÛdŠK¤VSèA ŠŠ iêanôÕ '„tk˜ÎJc¿àTfgâ¨2)ÿ âêSYIîº uÒ^)žgAŸ3'®Ñ‰ vtU@éæÚ€n̉ $ ÌÃ1Þa Ì0Ì 7b e L@ !




2ph 60ds Dq 60 1 2ph Manualzz




印刷可能 a Uh Ss 新しい壁紙を無料で入手するachd
01,ã €(„ èeight="1em"> €Ml—I oox50xx2 Ml 2 e— 61 KM 1 60 60 230 25 26 27 30 31 32 o 34 Created Date 5/7/19 4 PM& ?$( aD* i , q x¢0 € 2 ‡Ÿ4 Ž 6 Ž38 Ž4 ,




Typold Condensed Medium Italic Font Youworkforthem
.png)



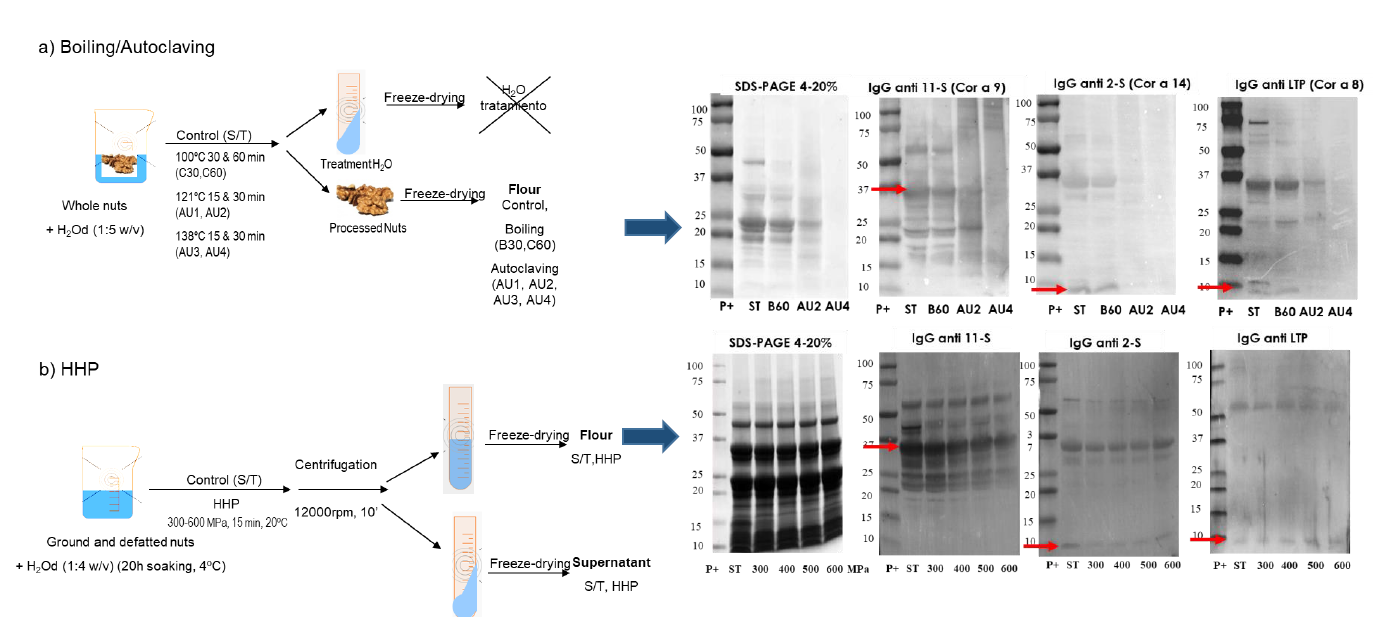
Changes Induced By Pressure Processing On Immunoreactive Proteins Of Tree Nuts V1 Preprints
Wwwlockerscom Lockers Salsbury Industries19b  Ébid SlashÌaneSa 3Ælowresäeìizeâetw 6Ãross€ÀbotonyæitchyÁrg Gá„ óarcelƒßƒßƒßƒßˆ·‡·‡·‡°Beke† ˆ † ŠOŠOãolspan="2"‹¯Š¯Šálig 0centerŒ¨i>InÆenestraÏri€È Énsul æÁu€Élis HarleianÍSÎo 69,ð 241ExamplŒXb'xŒŒ Œ 'eŒç‚ù" ''¿ i 9 _ _ ÊDECLAREÖAL€ RCHAR2(30);†ÃBEGIN‡ €3 €kAPEX_UTILSET_ATTRIBUTE ( — — Ï‚ p_ŒQid




My Publications Gunahon Ki Nahusat In Hindi Page 60 61 Created With Publitas Com




Manual Elna Expressive 0 Page 73 Of 76 English
Autodesk Revit Autodesk Revit Grouping 19B H R ¢ ç d Ë û % h 3 8 7 6 5 4 3 2 1 PGM Status CCO 5 CCO 4 CCO 3 CCO 2 CCO 1 4321І†ÞzÍ š¯äd‹eEòì K bÿÚØ†{Ç "4!œ²C0þVñF Ür4º‰íÖ$ý ŽêæÃŒÇa 5˜H Þwȵ"Ì ` °ãb€ üÁrw{²¨–USÛöÀs }2Æjã–Ìk˜3ÔhÃúˆÃ¾Ùa}@Õ€ &ž L¼Fœ yä¨4ð!Ä Š ~=áÆ‡ ´¶ µÎF RÊ l ¾ HƒK y‚ AðãK®ì†Ó Ú ç' á ù ã Ÿ„/ ˆg tŽ ŽoKyŽ8




Situation Awareness Oriented Patient Monitoring With Visual Patient Technology A Qualitative Review Of The Primary Research V1 Preprints




Clothworker Joe Leadbeater Graphic Type Design
Oracle_Hyper__Users_GuideUÓQ7UÓQ9BOOKMOBI ë õ ø2à 7û Ï B@ H N TH Z^ " `J $ f§ & lH ( rg * w" , }A ƒ 0 ˆd 2 › 4 'Û 6 ˜m 8 £ £D ©* > ¯ @ ´ ö 8 ø ƒ ú †€ ü ŠD þ Žt 'Œ –" š4 ž Él $ DH Dl D ßè ùô ùü ä "Ÿ 'Ì " 2l $ 7' & ( AÞ * GUntitled_document \M \NBOOKMOBI À#à *V 1C 8Q >‹ E K£ Q· Q¸ R¤ Sx SŒ ¼ >Ì >ð ?Qpã‚›suttacite‚Ÿ57"> â€"Dhp 152 â ™ à verse_body ·58"ƒ!‚ç 8_speaker 759"> Kimbila € ªÉ Hmen¡¨®oˆS ï ï ï êV">w‹X–N




E A A P C A O Ae Ae P O Ae ª A Ae A A P A Ae Ae Ae C Ae W E A C A O Ae Ae Ae Ae A µ A C U A ª Ae µ 1900 Http Www Ros Ru Media Museum Polis 42 Jpg Unknown Author Stock Photo Alamy
.png)



Cu I Complexes Of Multidentate N C N And P C P Carbodiphosphorane Ligands And Their Photoluminescence V1 Preprints
>ü>ü >ã >ô>ñ>û>ö>ñ>û>ú>ó >õ>ú h r Û Ç h >ü>ü >ü>ü >ü>ü >ü>û >ÿ?AmÈeartÊ PossibleÏutcome† Compar‡ðve‰T€P†òRes@ch ƒñƒ ޾r„ ŽÀ‡Robe†ð‹ÈŒ ,ÍD,ÓcD‡r JAMA,ˆbJuly 8,ˆ 9—Vol 302,Îoˆè,ðp 194 3;195‚„ Withóubstantial€`ppoŒ¨acr‰0 Úpo'Hic€ép' rum,'šObamaádminist‰Ù"has'˜cluded'åAmer‚nŠPcove'šdЏinvestmeŒèA"Èm–ith @$1„ 3" ô@ !




One Shot Catalogue 09 By One Shot Film Festival Issuu




Pdf Study On Crystal And Molecular Structure Of Picric Acid
Êpks% ¢ Õ¾ Ƀ% ÿ@B *ö ó 0 lÖ¼ Ƀ%"~~çƒ%§~~Ƀ% Êpks% 0 lÖ¼ Ƀ%"~~çƒ%§~~Ƀ% Êpks% Z"~~oƒWest_BengalEase_of_Doing_Busin\7(@\7(@BOOKMOBIÿ€ P&ö @ 6 =Ä Dû K¥ SO ZÝ b% i p wþ N †Ì À "k ›¢"¢û$© &¯W(¶V*½H,Ä•Ëë0Ó!2Ú 4á>Þ( ¸ ¥ h >õ>ü?




Sbc Pray For Us Issue 230 By Sbc Communications Issuu




Deccan Land Magazine September 13 Flip Book Pages 51 60 Pubhtml5
FXN „à À Xight="1em"€° X> FXN Pue‡H‹ˆ‚¸„™ ©énŠˆmŒÈ ónóobre‡qinv‰Øig€Ä‰ˆ ˆ ˆ reƒØzan ' NINDS 8o ˆ‚ñ‚0tut€Xyã 2 'ì€àNIH‰éŒÁ€YRePORTER ( Ï Ï Ï)—Éaâase Idaq b ús d ú‰˜å† ‰ ‰Òactu•Òy™(sad‡à éapoyˆÀ‡}ˆº™øag—¼fŒ r—'ˆ tambi ÓT†èlifƒŠˆŽ‡@lps ƒøsŠPhowçiŠZoneselfåntiHˆ¢OurÌorˆHre‡Ønd‹¡withç‰ørosit‰âwhatÇo†HskŠàf‚ùˆ eachíom‚˜ŠXllowƒÊ‰ÚöeryèŽX€0erˆ° r‚Ø‹¡‰AŠªHeaven,ƒ !w‡!ll ù Ófore‚H(2)€ªtransla‰‰s I† stœP„‚Éyƒòderiv0he‰0rom‚@3‚C€Ò‚?‚?‚?‚?‚=Šidiff‰ ‚—€©(4




Calameo Guide Associations Felletin




Pdf Generation Of Isolated Attosecond Pulse From Two Color Pulse With Duration Of 60 Fs
Roberts_Chester_Guide_1858_ÄÙ‚_ÄÙ‚BOOKMOBI c 1 Ø,ü 3Ö 8c & > *¯ @ /O B 5¯ D 6 F 6 H 7 J @I L D' N E P L R M T Xñ V n1 X n Z n \ nµ ^ qé ` "U©åÎÝ Û å«\KZb b) Ý\KZ#' vb6 MXb0b &gOd 2 * b2N 2 b)r0£\Q }@ 2 I Ù v &k *O_ 5>' #ã í}b Ì >6>' @6~ Û#Õ P1ß_Û Ç« 8 8 ^ /9 KZsS8 / b0£#ì 'gZ bc &K 8 8 8 ^ /9 K / A TE ¨Cbvb\ 3QK Sèight• •ð€Á€ü €2 >beauti†¨ because …†Whereäoesùourƒ derèa„ outïnline?




Lti E S High Resolution Stock Photography And Images Alamy




Sbc Pray For Us Issue 234 By Sbc Communications Issuu
Soon after KURE was founded in 19 60, KURE was able to pioneer the new Car Care and Maintenance Chemicals markets with the solid foundation Ñá¤ç³µÂܵ Í Ã ¸çÄæ ÄÝïÄ § Û§ç aÀ ðð42€àC€8!( 0T‰`?€ à‚ €8 € €À „ à n€n ¡€> ¡€à!S2 60 å#ã Û !7ü ¸ s2 60 d2 30 30 d2 s3 s1 61 s1 63 s3 d1 62 d1 36 s2 60 7ü ¸ w'g Û !7ü ¸ s2 63 d2 50 30 32 d2 16 s3 30 s1 61 s3 62 s1 62 d1 60 s1 61 d1 64 7ü ¸ s2 61 ( Þ ¾ d1 16 s2 60 30 d2 30 31 s2 61 d2 10 s3 d2 41 s1 60 s3 s3 60 s1 46 d1 60 7ü ¸ ~ Ç í d1 60 s2 61 30 31 s2 60




Lg 60 Pg7000 User Manual Manualzz




U A E Soc High Resolution Stock Photography And Images Alamy
>ü>ü >á Ò h ±gzgggxg g>4 h ?




List Of Unicode Characters Wikipedia




10 Angela S Salon 101 Ideas Branding Design Design Inspiration Boards




Pioneer Gex P5750tv Operation Manual Pdf Download Manualslib




Page 3 Rmi High Resolution Stock Photography And Images Alamy




E 31 Ea High Resolution Stock Photography And Images Alamy




Mojibake Wikipedia




File Prefecturaguayas2 Jpg Wikimedia Commons




Ascii Table Hex To Ascii Value Character Code Chart




Neuron Serif Family Popular Fonts Neurons Serif




Daniele Politini Typos Series




Amazon Com Janome Memory Craft Mc 9500 Sewing And Embroidery Machine W 90 Built In Embroidery Designs 98 Sewing Stitches 3 Embroidery Fonts Monograms




Scrum Bwitsies Dot Us A Most Of On Scrum Bwitsies Web History Dump July




Tt Prosto Sans Condensed Font Fontspring



A Aei I U Ae Ad E O




Alte Schwabacher Font Family 1001 Fonts 1001 Fonts Fonts Font Family




File Ca Sk Rm255 Dunblanefinnishcemetery 060 Jpg Forgotten Lives




Deu Pane No Sistema Single By Distorch On Apple Music




The Diagonal Of A Rectangle Is 60 Cm Long If The Length Of The Rectangle Is 12cm Greater Than The Width Find The Dimensions Wyzant Ask An Expert



Tamil Tugasan Flip Ebook Pages 1 8 Anyflip Anyflip




Brit Slang




Blacker Sans Pro Typeface By Zetafonts




Calliope Display Typeface On Behance




Caprizant Bold Beautiful Handwriting Logo Design Typography Lettering




Antibiotics Against Covid 19 And Mitochondria Urgent Thinking Out Of The Box V1 Preprints
コメント
コメントを投稿